Benny is 72 years old, from Jakarta, Indonesia. In December 2010, he was diagnosed with poorly differentiated non-small cell right lung cancer stage IIB. In March 2017, he came to St. Stamford Modern Cancer Hospital Guangzhou for his 19th regular return visit. We can hardly discover that Benny suffers from diabetes, high blood pressure, type B virus hepatitis and fatty liver, not to mention that he has survived lung cancer for 7 years. He told us hopefully that every six months he would return to visit MCHG and his condition was well under control without recurrence in the past 7 years.

2011- Benny with medical staff
An unexpected faint, I was diagnosed with lung cancer stage IIB
Before December 2010, I had never imagined that I would get lung cancer since I didn’t feel any symptoms. I passed out at my house, started to bleed and vomit. My daughter insisted to visit a doctor. In Singapore, through biopsy and CT scan; it found out that I was diagnosed with poorly differentiated non-small cell right lung cancer stage IIB. There was a mass about 3.6cm in my right lung. Besides, I already had type 2 diabetes, stage 2 high blood pressures, type B virus hepatitis and fat liver at that time, In addition, I was old and weak, therefore, oncologists in Jakarta couldn’t make a treatment plan for my lung cancer.

In 2011, Benny wrote down a note for medical staff in MCHG before his discharge
I chose to treat lung cancer overseas over surgery and radiotherapy as well as chemotherapy
After the diagnosis of my lung cancer, I have received numerous information about cancer treatments, mostly are disappointing. Several of cancer patients died from radiotherapy and chemotherapy due to the side effects. So I refused to do any treatment in Indonesia and Singapore since I knew there were none left for me. Occasionally, I learned about St. Stamford Modern Cancer Hospital Guangzhou from my neighbor. I went to the Jakarta Office and I got to know minimally invasive therapy that can help in my case, so my family decided to go to the hospital for my treatment.

2012 – In his return visit, Benny’s hair had grown
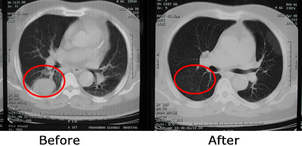
Minimally invasive therapy made 4.3 cm tumor in lung disappear
Early in 2011, I arrived at MCHG together with my family. Compared with oncology hospitals in Indonesia and Singapore, thorough tests and examinations were performed in MCHG . I was saddened that my tumor progressed from 3.6 cm to 4.3 cm. With my complicated chronic diseases, I lost my weight from 89kg down to 79kg. The Multidisciplinary Team (MDT) in MCHG immediately formulated an individualized minimally invasive treatment plan for me.

2017 - Benny’s 19th return visit to MCHG
Considering my age and condition, MDT first arranged natural therapy and minimally invasive targeted therapy combining natural therapy and Traditional Chinese medicine (TCM) &Western medicine to enhance my immunity to sustain me for the subsequent treatments.

Medical service in MCHG always makes Benny feel very warm
By interventional therapy, cryotherapy and particle implantation, I didn’t feel any side effects at all like those caused by radiotherapy and chemotherapy, instead, I was getting better each day. When I came to hospital for my 4th return visit in April 2011, CT showed that the 4.3 cm tumor in my lung had already disappeared. My weight also gradually returned back to normal. Apparently, my hair grew back and everything seemed fine as I was able to do more activities.

I find medical services here are great, it is comfortable and heartwarming. Sometimes you don’t even need to press the call ring and the nurses are there to help you. I remember, I once wrote down a note for doctors saying “Thank you for your patience, love and care. You are the light that shines in the darkness.”

2017- Benny with medical staff
I can feel that every doctor here is a light; they shine in the dark world of cancer patients. I hope other cancer patients can be as lucky as me to meet your light that finds out the right treatments and conquer cancers.






Telephone: